Hiện nay nguồn nước đang bị ô nhiễm nghiêm trọng do bà con sử dụng kháng sinh, hóa chất tràn lan trong nuôi tôm khiến tôm bị bệnh đường ruột. Bệnh đường ruột ở tôm rất phổ biến đối với các ao nuôi tôm thẻ chân trắng, làm ảnh hưởng đến năng suất vụ mùa cũng như kinh tế của người nuôi. Hãy cùng Biogency tìm hiểu thêm về nguyên nhân và dấu hiệu nhận biết bệnh đường ruột ở tôm nhé!

Nguyên nhân dẫn đến bệnh đường ruột ở tôm
– Do môi trường
- Trong suốt thời gian nuôi, bà con không kiểm soát tốt tình trạng nguồn nước, làm nước ao bị ô nhiễm, các thức ăn thừa, vỏ tôm lột, nước ao nhiều chất hữu cơ đã tạo điều kiện cho vi khuẩn phát tán nhanh xâm nhập vào đường ruột gây hoại tử thành ruột.
- Các thiết bị, dụng cụ, vật tư không được vệ sinh kỹ.
- Đáy ao nuôi tôm bị bùn đáy, ô nhiễm do xác thực vật, tảo tàn, vỏ tôm lột, thức ăn thừa…

Hình 1. Môi trường nước xấu là một trong những yếu tố làm tôm dễ nhiễm bệnh đường ruột.
– Do thức ăn
- Thức ăn để lâu ẩm mốc, chứa nhiều độc tố, vi khuẩn, vón cục, không đảm bảo chất lượng khi cho tôm ăn sẽ dễ gây ra bệnh đường ruột ở tôm.
- Thức ăn bị dính trên nhá, quạt, thành bạt lâu ngày sẽ gây ô nhiễm, ẩm mốc, độc tố, khi tôm ăn sẽ gây bệnh.
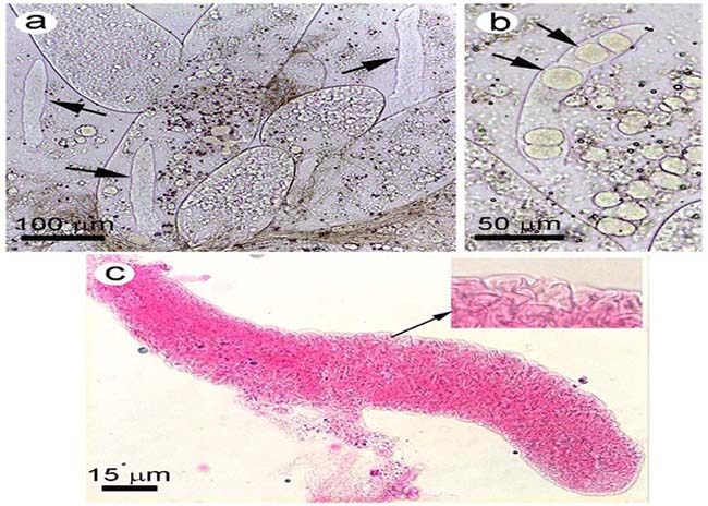
– Do ký sinh trùng
- Trùng hai tế bào Gregarine và Vermiform (dạng giun).
- Khi tôm ăn phải các ký sinh trùng, vi khuẩn xâm nhập vào đường ruột tôm, bám vào các mao đường ruột làm cho ruột tôm không hấp thụ được chất dinh dưỡng.

Hình 2. Ký sinh trùng gây bệnh đường ruột ở tôm.
– Do tảo
- Mật độ tảo trong ao xuất hiện nhiều đặc biệt là tảo lam, khi tôm ăn phải sẽ tiết ra enzyme gây tê liệt lớp biểu bì mô ruột, cản trở sự hấp thụ dinh dưỡng vào đường ruột tôm khiến tôm bị phân trắng, phân đứt khúc do ăn phải tảo lam.
- Bạt bị nhớt do đóng tảo, các thiết bị dụng cụ bị nấm đồng tiền khi tôm ăn phải sẽ gây ra bệnh đường ruột.

Hình 3. Mật độ tảo trong ao dày là nơi trú ẩn của ký sinh trùng.
– Do con giống kém chất lượng
Thời tiết thay đổi thất thường, mưa nắng khiến tôm bỏ ăn lâu ngày dẫn đến sức ăn yếu dễ gây ra bệnh đường ruột.
Dấu hiệu nhận biết tôm bị bệnh đường ruột
Bệnh đường ruột ở tôm là một bệnh khá phổ biến và chưa có thuốc điều trị hiện nay. Vì vậy bà con cần thường xuyên theo dõi sức khoẻ của tôm để phát hiện và ngăn chặn kịp thời, từ đó sẽ đưa ra những phương pháp phòng ngừa hiệu quả. Một số dấu hiệu cho thấy tôm mắc bệnh đường ruột:
– Sức ăn của tôm giảm
Sức ăn là một trong những yếu tố quan trọng đánh giá sức khỏe của tôm. Nếu thấy lượng thức ăn trong ao còn nhiều, là một trong những dấu hiệu đầu tiên cho thấy tôm bị bệnh.
Sử dụng thức ăn kém chất lượng: Thức ăn không rõ nguồn gốc, ẩm mốc, người nuôi không bảo quản thức ăn đúng cách, khi cho tôm ăn sẽ dễ bị bệnh đường ruột.
Dấu hiệu:
- Tôm giảm ăn rõ rệt.
- Tôm ăn ít, chậm lớn.
- Thức ăn thừa trong ao ngày càng nhiều do tôm mắc bệnh đường ruột nên bỏ ăn.
- Tôm bỏ ăn, bơi lờ đờ tấp vào mé bờ.
– Đường ruột tôm không đồng đều, đứt quãng
Màu sắc đường ruột tôm cũng có thể đánh giá được tình trạng tôm. Thông thường tôm khỏe, đường ruột tôm chứa đầy thức ăn, nếu thấy đường ruột tôm ngắn hay đứt đoạn cho thấy tôm trong ao đang bị nhiễm bệnh.
Các ký sinh trùng Gregarine, vi khuẩn Vibrio là nguyên nhân gây ra bệnh phân trắng ở tôm. Khi môi trường ô nhiễm, tạo điều kiện thuận lợi cho các virus, vi khuẩn phát triển mạnh, xâm nhập vào cơ thể tôm gây bệnh đường ruột.
Dấu hiệu:
- Tôm bị hoại tử.
- Đường ruột đỏ, đường ruột loãng làm tôm không hấp thụ được thức ăn.
- Đường ruột tôm bị đứt thành từng đoạn,
- Không có thức ăn trong đường ruột.
- Thức ăn trong đường ruột tôm chuyển động khi lắc nhẹ thân tôm.

Hình 4. Bệnh đường ruột ở tôm là nguyên nhân khiến tôm chậm lớn, thậm chí là chết.
– Phân tôm nhạt màu, đứt khúc
Các bệnh như bệnh phân trắng, phân đứt khúc, phân loãng,… đều do đường ruột bị tổn thương gây ra. Màu sắc phân nhợt nhạt khác với bình thường.
- Phân tôm bị đứt khúc, đường phân bị cong.
- Khi kiểm tra nhá, phân tôm suông dễ rã, ngắn, màu sắc nhợt nhạt.
Trong nuôi tôm gặp phải các vấn đề bệnh đường ruột là rất phổ biến, nếu để tôm mắc bệnh đường ruột sẽ dẫn đến những hệ lụy nghiêm trọng làm ảnh hưởng tới năng suất vụ mùa. Bà con nên bổ sung men vi sinh đường ruột cho tôm, giúp tôm khỏe hấp thụ thức ăn tốt, phòng ngừa bệnh đường ruột.
Nếu bà con có vấn đề thắc mắc về bệnh đường ruột ở tôm cũng như các giải pháp giúp nuôi tôm hiệu quả, hãy liên hệ ngay với Biogency theo số HOTLINE 0909 538 514 để được hỗ trợ và tư vấn kịp thời! Biogency cam kết đồng hành cùng bà con đem lại vụ mùa bội thu nhất!
>>> Xem chi tiết: Nuôi tôm tốt, đường ruột tôm khỏe nhờ Men vi sinh Microbe-Lift DFM
